Advertisement

Metastasis Adenocarcinoma Adalah / Neoplasia Dyah Fauziah Dr Sppa Ppt Download - Metastatic liver tumors are largely silent until the disease is well advanced.2 patients with metastatic colorectal tumors frequently die of hepatic failure due to liver metastasis.

Metastasis Adenocarcinoma Adalah / Neoplasia Dyah Fauziah Dr Sppa Ppt Download - Metastatic liver tumors are largely silent until the disease is well advanced.2 patients with metastatic colorectal tumors frequently die of hepatic failure due to liver metastasis.. Diagnosis of maxillary sinus carcinoma was achieved, and the patient was referred to a head and neck surgeon. They ranged in age from 29 to 54 (mean, 41) years. Perkembangan penyakit metastasis relatif umum. Tumor thickness or depth of invasion is the only size criterion predictor of nodal metastasis in carcinoma of tongue, the critical cut off values The kidneys work by cleaning out waste products in the blood.

The kidneys work by cleaning out waste products in the blood. M refers to the existence of distant metastases; Learn more about the symptoms, treatment options, and prognosis here. Free t 4 , thyroid stimulating hormone, and tissue transglutaminase. We report one case of villoglandular papillary adenocarcinoma (vgpa) of the uterine cervix with lymph node metastasis and reviewed the clinicopathological features of six other cases reported in the literature.

Fine Needle Aspiration Cytology Of Metastatic Renal Cell Carcinoma A Case Report Pdf Free Download
Fine Needle Aspiration Cytology Of Metastatic Renal Cell Carcinoma A Case Report Pdf Free Download from docplayer.net
The thyroid is a gland located in the front of your neck, just below the adam's apple. 1) ae1/ae3, 2) p40, 3) synaptophysin, 4) sox10, 5) cd45, 6) cd99, and. Endometrial clear cell adenocarcinoma adalah serupa dengan jenis clear cell yang terdapat di ovarium, vagina, dan serviks. Mills se, andersen wa, fechner re, et al: A lung metastasis is a cancerous growth in the lung that got its start from cancer cells originating somewhere else in the body. Kanker payudara banyak dijumpai di indonesia khususnya pada wanita, merupakan kanker terbanyak kedua setelah kanker mulut rahim. Pure small cell, mixed small cell, dan large cell carcinoma. Nodes without distant metastasis, american joint committee on cancer staging t3n1m0.

Mills se, andersen wa, fechner re, et al:

Iesalnieks i1, trupka a, raab m, glockzin g, woenckhaus m, schlitt hj, agha a. The development of the krukenberg tumor is not from general gastric cancer, but it is a specific form of cancerous growth arises from signet ring cell carcinoma of the stomach and spread to adenocarcinoma of the ovary. metastasis is a pathogenic agent's spread from an initial or primary site to a different or secondary site within the host's body; Stage iv means cancer that has spread widely or cancer that has metastasised. Clear cell renal cell carcinoma is named after how the. Dua jenis tumor yang paling sering ditemukan pada colorectal adalah adenoma atau adenomatous polip dan adenocarcinoma. Clear cell renal cell carcinoma is also called conventional renal cell carcinoma. Hepatocellular carcinoma (hcc) adalah keganasan primer dari hati dan terjadi terutama pada pasien dengan penyakit hati kronis dan sirosis. Choriocarcinoma is a malignancy of placental origin.it is an aggressive form of cancer originating from the trophoblast cells in the placenta. Metastatic liver tumors are largely silent until the disease is well advanced.2 patients with metastatic colorectal tumors frequently die of hepatic failure due to liver metastasis. We report one case of villoglandular papillary adenocarcinoma (vgpa) of the uterine cervix with lymph node metastasis and reviewed the clinicopathological features of six other cases reported in the literature. Stage 0 means the presence of a small carcinoma in situ that has not spread. The proportion of pathologic lymph node metastasis among scirrhous carcinomas is significantly higher than that among carcinomas of other histological types 2.

The proportion of pathologic lymph node metastasis among scirrhous carcinomas is significantly higher than that among carcinomas of other histological types 2. Hepatocellular carcinoma (hcc) adalah keganasan primer dari hati dan terjadi terutama pada pasien dengan penyakit hati kronis dan sirosis. Sclc biasanya lebih agresif dari nsclc dan sering terdapat metastasis jauh, terutama ke tulang, hepar, kelenjar adrenal, perikardium, otak, dan medula spinalis. Dua jenis tumor yang paling sering ditemukan pada colorectal adalah adenoma atau adenomatous polip dan adenocarcinoma. Clear cell renal cell carcinoma is also called conventional renal cell carcinoma.

Identification Of Crucial Genes Associated With Esophageal Squamous Cell Carcinoma By Gene Expression Profile Analysis
Identification Of Crucial Genes Associated With Esophageal Squamous Cell Carcinoma By Gene Expression Profile Analysis from www.spandidos-publications.com
Dua jenis tumor yang paling sering ditemukan pada colorectal adalah adenoma atau adenomatous polip dan adenocarcinoma. A lung metastasis is a cancerous growth in the lung that got its start from cancer cells originating somewhere else in the body. Exposure to ultraviolet (uv) rays, like the ones from the sun or a tanning bed, affects the cells in the middle and outer layers of your skin and can cause them to. 1) ae1/ae3, 2) p40, 3) synaptophysin, 4) sox10, 5) cd45, 6) cd99, and. Tumor thickness or depth of invasion is the only size criterion predictor of nodal metastasis in carcinoma of tongue, the critical cut off values A synopsis of the clinicopathological features of the above six cases together with our present case is listed in table 1. Stage iv means cancer that has spread widely or cancer that has metastasised. Karsinoma tiroid termasuk jenis kanker kelenjar endokrin terbanyak jumlahnya, hampir 10 kali lebih banyak dibandingkan kanker kelenjar endokrin lainnya.

The risk of developing colorectal tumors begins to increase

Clear cell renal cell carcinoma is named after how the. Anaplastic thyroid cancer, or atc, is a type of thyroid cancer. Colorectal cancer, but we will call it a scientific colon adenocarcinoma, is already recognized in the world as the main oncological problem of mankind in the 21st century. Exposure to ultraviolet (uv) rays, like the ones from the sun or a tanning bed, affects the cells in the middle and outer layers of your skin and can cause them to. Angka kejadian karsinoma tiroid tidak dapat ditentukan secara pasti. Kaum pria juga dapat terserang kanker payudara, walaupun kemungkinannya lebih kecil dari 1 di antara 1000. Invasive ductal carcinoma (46,2%), invasive lobular carcinoma (45,5%), tubular carcinoma (56%), dan mucinous carcinoma (100%) cenderung bermetastasis ke paru sedangkan medullary carcinoma (60%) cenderung bermetastasis ke hati. Carcinoma of uterine cervix with lymph node metastasis in the literature there are approximately 80 cases of vgpa ever reported in the literature. The newly pathological sites, then, are metastases (mets). Clinicopathological features, surgical techniques and outcomes. A type 1 excludes note indicates that the code excluded should never be used at the same time as c79.9.a type 1 excludes note is for used for when two conditions cannot occur together, such as a congenital form versus an acquired form of the same condition. metastasis ke otak sangat jarang dengan data yang terbatas di literatur. If a patient has multiple metastases from an adenocarcinoma, some clinicians would consider giving systemic chemotherapy.

Sclc biasanya lebih agresif dari nsclc dan sering terdapat metastasis jauh, terutama ke tulang, hepar, kelenjar adrenal, perikardium, otak, dan medula spinalis. In one study, the five. 1) ae1/ae3, 2) p40, 3) synaptophysin, 4) sox10, 5) cd45, 6) cd99, and. Eltabbakh gh, piver ms, werness ba: There are several different types of tumours, depending on their degree of differentiation (similarity to the original normal tissue).

Kanker Hati Adi Husada Cancer Center Ahcc Surabaya
Kanker Hati Adi Husada Cancer Center Ahcc Surabaya from ahcc.co.id
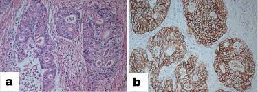
It is responsible for sending out hormones to the rest of your body. Rhomboid flap technique is one of wound closure technique for wide excision on temple area. Histopathological diagnosis was well differentiation adenocarcinoma. Iesalnieks i1, trupka a, raab m, glockzin g, woenckhaus m, schlitt hj, agha a. Clear cell renal cell carcinoma is also called conventional renal cell carcinoma. A lung metastasis is a cancerous growth in the lung that got its start from cancer cells originating somewhere else in the body. 1) ae1/ae3, 2) p40, 3) synaptophysin, 4) sox10, 5) cd45, 6) cd99, and. A type 1 excludes note indicates that the code excluded should never be used at the same time as c79.9.a type 1 excludes note is for used for when two conditions cannot occur together, such as a congenital form versus an acquired form of the same condition.

Renal cell carcinoma with renal vein and inferior vena caval involvement:

Primary peritoneal adenocarcinoma metastatic to the brain. Histopathological diagnosis was well differentiation adenocarcinoma. A type 1 excludes note indicates that the code excluded should never be used at the same time as c79.9.a type 1 excludes note is for used for when two conditions cannot occur together, such as a congenital form versus an acquired form of the same condition. adenocarcinoma is a type of malignant tumours arising from glandular tissue organs, i.e. Exposure to ultraviolet (uv) rays, like the ones from the sun or a tanning bed, affects the cells in the middle and outer layers of your skin and can cause them to. Selain itu, kanker payudara (carcinoma mammae) didefinisikan sebagai suatu penyakit neoplasma There are several different types of tumours, depending on their degree of differentiation (similarity to the original normal tissue). The kidneys are located on either side of the spine towards the lower back. Choriocarcinoma starts as a gestational trophoblastic disease and progresses to a malignancy. Tumor thickness or depth of invasion is the only size criterion predictor of nodal metastasis in carcinoma of tongue, the critical cut off values Clear cell renal cell carcinoma, or ccrcc, is a type of kidney cancer. 60 metastasis squamous cell carcinoma pada kgb. Peran usg lain adalah untuk evaluasi metastasis ke organ viseral.

Post a Comment

0 Comments